Contents
临床表现
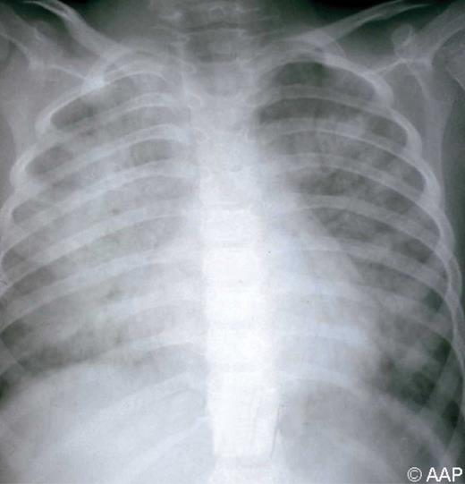
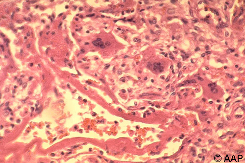
麻疹是一种急性病毒性疾病,其特征是发热、咳嗽、鼻炎和结膜炎,随后出现从面部开始的斑丘疹,并向头尾和离心扩散。在前驱期,可能存在特征性的病原性无花序(Koplik 斑)。麻疹的并发症,包括中耳炎、支气管肺炎、喉气管支气管炎(哮吼)和腹泻,常见于幼儿和免疫功能低下的宿主。急性脑炎通常会导致神经功能缺损,大约每 1000 例中就有 1 例发生。在美国的后消除时代,每 1000 例报告的病例中就有 1 至 3 例死亡,主要由呼吸和神经系统并发症引起。5 岁以下儿童、孕妇和免疫功能低下儿童的病死率增加,包括患有白血病、人类免疫缺陷病毒 (HIV) 感染和严重营养不良(包括维生素 A 缺乏症)的儿童。有时,免疫功能低下的患者不会出现特征性皮疹。
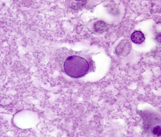
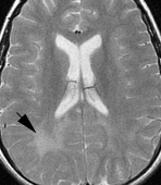
麻疹包涵体脑炎 (MIBE) 是免疫功能低下个体麻疹感染的一种罕见表现,通常在麻疹感染后 1 年内出现。疾病起病为亚急性,进行性神经功能障碍在数周至数月内发生。亚急性硬化性全脑炎 (SSPE) 是一种罕见的退行性中枢神经系统疾病,其特征是行为和智力恶化以及癫痫发作,通常发生在野生型麻疹病毒感染后 7 至 11 年。2 岁之前感染的儿童感染率最高。
最近的几项研究表明,患有麻疹的儿童在感染后几年内对其他病原体的免疫反应减弱,死亡率增加。这归因于麻疹诱导的细胞介导免疫功能抑制,导致免疫健忘症和对先前遇到的抗原(包括疫苗抗原)的易感性。这种效果是麻疹预防如此重要的另一个原因。
病因学
麻疹病毒是一种具有 1 种血清型的包膜 RNA 病毒,被归类为麻 疹病毒科麻疹病毒属的成员。
流行病学
麻疹病毒的唯一自然宿主是人类。麻疹病毒通过直接接触传染性飞沫或空气传播传播。麻疹是所有传染病中传染性最强的疾病之一;在密切接触环境中,暴露于麻疹的易感个体的发病率为 90%。通常需要高达 95% 或更高的人群免疫力来阻止持续的传播。在温带地区,感染高峰通常发生在冬末和春季。在疫苗之前的时代,美国的大多数麻疹病例发生在学龄前和学龄儿童中,很少有人在 20 岁时仍然易感。在美国实施 12 至 15 个月大的儿童常规疫苗接种后,麻疹更常见于 1 岁以下的婴儿以及未充分接种疫苗的大龄青少年和成人。婴儿易感性在经胎盘获得性抗体不再存在时增加。美国的儿童和青少年免疫接种计划始于 1963 年获得麻疹疫苗许可,并于 2000 年宣布消除麻疹(即超过 1 年没有地方性麻疹传播),导致麻疹发病率下降了 99% 以上。
从 1989 年到 1991 年,美国的麻疹发病率有所增加,因为学龄前儿童的免疫接种率低,尤其是在城市地区,以及由于接种了 1 剂含麻疹疫苗的儿童的初级疫苗接种失败。随着学龄前儿童覆盖率的提高和儿童常规第二剂麻疹、腮腺炎和风疹 (MMR) 疫苗的实施,麻疹发病率已降至极低水平(每 100 万人 <1 例)。不幸的是,近年来许多州的麻疹病例和疫情数量不断增加。这些病例中的大多数与未接种疫苗的美国国际旅行者从麻疹流行国家(包括西欧国家)输入麻疹有关,以及随后在未接种疫苗的亚群(包括有意未接种疫苗的儿童)中内部传播。
全球控制和区域消除麻疹方面继续取得进展,2000 年至 2020 年期间,全球麻疹估计死亡人数下降了 94%。155 截至 2021 年底,独立区域委员会已确认 76 个国家已达到或保持消除麻疹状态。然而,世界卫生组织 (WHO) 区域均未实现并持续消除麻疹,也尚未证实非洲区域国家已消除麻疹。世卫组织美洲区域于 2016 年实现了麻疹消除核查;然而,地方性麻疹传播在委内瑞拉(2016 年)和巴西(2018 年)重新建立。
在 COVID-19 大流行期间,含麻疹疫苗第一剂的估计覆盖率从 2019 年的 86% 下降到 2020 年的 84% 和 2021 年的 81%。156 监测不理想恶化,加上 COVID-19 大流行期间疫苗犹豫和常规疫苗接种减少导致的人口易感性增加,仍然是全球消除麻疹的主要威胁。
在 12 个月或以上接种单剂含麻疹疫苗的人中,多达 7% 的人对疫苗无反应(即初次疫苗失败)。在既往免疫接种的儿童中,大多数麻疹病例可归因于初次疫苗接种失败,但在某些情况下,免疫接种后免疫力减弱(即二次疫苗失败)可能是一个因素。初次疫苗接种失败是 1989 年常规推荐儿童和高危成人接种 2 剂疫苗计划的主要原因。157 元
野生型麻疹病毒感染患者从皮疹前 4 天到皮疹出现后 4 天具有传染性。免疫功能低下的患者可能在呼吸道分泌物中长时间排泄病毒,在疾病期间可能具有传染性。SSPE 患者不具有传染性。
从暴露到出现前驱症状,潜伏期平均为 11 至 12 天,暴露与出现皮疹的平均间隔为 14 天,范围为 7 至 21 天。在 SSPE 中,1976 年至 1983 年间报告的 84 例病例的平均潜伏期为 10.8 年。
诊断测试
麻疹病毒感染可通过以下方式确认:(1) 核酸扩增试验 (NAAT) 检测麻疹病毒 RNA;(2) 检测麻疹病毒特异性免疫球蛋白 (Ig) M;(3) 配对的急性期和恢复期血清标本中的麻疹 IgG 抗体浓度增加四倍(至少间隔 10 天采集);或 (4) 在细胞培养物中分离麻疹病毒。通过酶免疫测定法检测血清样本中的 IgM 一直是确诊病例的首选方法;然而,随着疾病发病率的降低,IgM 检测的阳性预测值降低。因此,在咽喉、鼻腔和鼻咽后部拭子标本中检测病毒 RNA;支气管灌洗样本;血液或尿液样本(呼吸道样本是首选样本,采样超过 1 个部位可能会增加敏感性)在病例确认中发挥着越来越重要的作用。应从任何疑似麻疹的患者身上获取血清样本和咽拭子样本。许多州公共卫生实验室、公共卫生实验室疫苗可预防疾病参考中心协会 (VPD-RC) 和美国疾病控制与预防中心 (CDC) 的麻疹实验室可以进行逆转录酶聚合酶链反应 (RT-PCR) 检测来检测麻疹 RNA。不建议在细胞培养物中分离麻疹病毒用于常规病例确认,因为分离可能需要长达 2 周的时间才能完成。
麻疹 IgM 检测的敏感性因标本采集时间、患者的免疫接种状态和检测方法本身而异。高达 20% 的 IgM 检测在皮疹发作后的前 72 小时内可能出现假阴性结果。如果麻疹 IgM 结果为阴性,且患者出现持续超过 72 小时的全身性皮疹,则应重复进行麻疹 IgM 检测。麻疹 IgM 在未接种疫苗的人群出现皮疹后至少 1 个月内可检测到,但在接种 1 剂或 2 剂含麻疹疫苗的人群中可能不存在或仅短暂存在。因此,在免疫接种人群中,不应使用阴性 IgM 检测结果来排除诊断。
通过 NAAT 检测病毒 RNA 提供了一种快速、灵敏的病例确认方法。皮疹发作后尽快采集样本进行 RNA 检测很重要,因为皮疹后病毒脱落会随着时间的推移而减少。标本时间和质量对 NAAT 的结果有很大影响,因此阴性结果不应是排除麻疹病例的唯一标准。采集样本进行病毒分子检测的另一个优点是,这些样本也可用于病毒的基因分型,这对于确定输入和传播模式非常重要。
在含麻疹疫苗覆盖率高的人群中,例如美国的人群,当地通常无法进行全面的血清学和病毒学检测,需要将样本提交给州公共卫生实验室或 CDC。麻疹 IgM 血清反应阴性且麻疹 NAAT 结果为阴性的发热性皮疹患者应使用相同的标本进行风疹检测。
治疗
尚无特异性抗病毒疗法。麻疹病毒在体外对利巴韦林敏感,利巴韦林已通过静脉注射和气雾剂途径给药,用于治疗受严重影响和免疫功能低下的麻疹儿童。然而,尚未进行对照试验,并且利巴韦林未获得美国食品药品监督管理局 (FDA) 的麻疹治疗许可。静脉注射利巴韦林只能通过紧急研究性新药 (eIND) 申请从制造商处获得。
维生素A
WHO 目前建议所有麻疹儿童使用维生素 A,无论其居住国如何。许多美国专家同意为美国所有麻疹儿童提供维生素 A,无论其住院状态如何。在资源有限国家,对麻疹儿童进行维生素 A 治疗与发病率和死亡率降低有关。在美国,儿童血清维生素 A 浓度也较低,患有更严重麻疹疾病的儿童维生素 A 浓度可能较低。用于治疗麻疹的维生素 A 每天给药一次,持续 2 天(即,诊断后立即给药,第二天重复给药),剂量如下:
- 200 000 IU(60 000 μg 视黄醇活性当量 [RAE]),适用于 12 个月或以上的儿童;
- 100 000 IU (30 000 μg RAE) 用于 6 至 11 个月大的婴儿;和
- 50 000 IU (15 000 μg RAE) 用于 6 个月以下的婴儿。
- 对于有维生素 A 缺乏症临床体征和症状的儿童,应在 2 至 6 周后额外(即第三次)给予特定年龄剂量的维生素 A。
卫生保健机构中的感染预防和控制措施
除了标准预防措施外,其他方面健康的儿童皮疹发作后 4 天以及免疫功能低下患者的病程也应采取空气传播预防措施。暴露易感患者应在最后一次暴露后 21 天内采取空气传播预防措施(如果患者接受免疫球蛋白作为暴露后预防,则为 28 天)。158 元
控制措施
麻疹免疫力的证据159
麻疹免疫力的证据包括以下任何一项:
- 使用含麻疹活疫苗进行适龄疫苗接种的文件:
- 学龄前儿童:一岁生日后接种 1 剂;
- 学龄儿童(K-12 年级):2 剂;第一剂在一岁生日后给药,第二剂在第一剂后至少 28 天给药;
- 非高危成人:一岁生日后接种 1 剂;
- 高危成人(例如,高等教育机构的学生、医护人员、国际旅行者):2 剂;第一剂在一岁生日后给药,第二剂在第一剂后至少 28 天给药;
- 免疫力的实验室证据;
- 疾病的实验室确认;或
- 1957 年之前出生。
暴露人群的护理
| 年龄范围 | 麻疹 免疫状态a | PEP 类型取决于初次暴露后的时间 | ||
|---|---|---|---|---|
| ≤3 天 (≤72 小时) | 4-6 天 | >6 天 | ||
| 所有年龄段 (≥ 6 个月) | 免疫的 |
| ||
| <6 个月 | 非免疫性(因为年龄b) |
| ||
| 6-11 个月 | 非免疫 |
|
| |
| ≥12 个月 | 非免疫 |
| ||
| ≥12 个月 | 1 剂 MMR 疫苗 |
| ||
改编自纽约市卫生局开发的表格:www.nyc.gov/assets/doh/downloads/pdf/imm/pep-measles-providers.pdf。其他来源:疾病控制和预防中心。麻疹、风疹、先天性风疹综合征和流行性腮腺炎的预防,2013 年。MMWR Recomm 代表2013;62(RR-4):1-34;和 Gastanaduy P、Redd S、Clemmons N 等人。第 7 章:麻疹。在:Roush SW、Baldy LM、Kirkconnell Hall MA,编辑疫苗可预防疾病监测手册。疾病控制和预防中心。页面最后审阅日期为 2019 年 5 月 13 日。见:www.cdc.gov/vaccines/pubs/surv-manual/chpt07-measles.html
一个可接受的免疫力证据包括适合年龄的疫苗接种的书面文件、免疫力的实验室证据、疾病的实验室确认或 1957 年之前出生。
乙MMR 疫苗不适用于该年龄组。
cIGIM 的剂量为 0.5 mL/kg 体重(最大剂量 15 mL)。
d隔离期为最后一次接触后 21 天;如果 IG 作为 PEP 给药,大多数卫生部门会将监测期延长至 28 天,因为 IG 可以延长潜伏期。关于是否适当(即在 6 天窗口内)接受 IG 作为 PEP 的暴露者是否应返回托儿所、学校或工作场所(即不被隔离)等环境的决定应包括考虑环境中接触者的免疫状态和强度以及高危个体的存在。这些人应该被排除在医疗保健机构之外。
e适当接受 MMR 作为 PEP 的人不需要隔离(即,在 3 天窗口内),尽管这些人应被排除在医疗保健机构之外 21 天。
f建议 <12 月龄的婴儿使用 IGIM,建议无免疫力孕妇和严重免疫功能低下的人静脉注射 IG。IGIM 可以给予没有麻疹免疫证据的其他人(例如,≥12 个月大),但应优先考虑在强烈、长期、密切接触的环境中(例如,家庭、儿童保育、教室)暴露的人。
| 类别 | 麻疹免疫状态a | PEP 类型取决于初次暴露后的时间 | ||
|---|---|---|---|---|
| ≤3 天 (≤72 小时) | 4-6 天 | >6 天 | ||
| 严重免疫功能低下b | 无论麻疹免疫状态如何,都推荐 IG |
| ||
| 怀孕 | 免疫的 |
| ||
| 非免疫 |
| |||
改编自纽约市卫生局开发的表格:www.nyc.gov/assets/doh/downloads/pdf/imm/pep-measles-providers.pdf。其他来源:疾病控制和预防中心。麻疹、风疹、先天性风疹综合征和流行性腮腺炎的预防,2013 年。MMWR Recomm 代表2013;62(RR-4):1-34;和 Gastanaduy P、Redd S、Clemmons N 等人。第 7 章:麻疹。在:Roush SW、Baldy LM、Kirkconnell Hall MA,编辑疫苗可预防疾病监测手册。疾病控制和预防中心。页面最后审阅日期为 2019 年 5 月 13 日。见:www.cdc.gov/vaccines/pubs/surv-manual/chpt07-measles.html
a可接受的免疫力证据包括适合年龄的疫苗接种的书面文件、免疫力的实验室证据、疾病的实验室确认或 1957 年之前出生。
b患者免疫功能改变的程度应由医生确定。严重免疫功能低下的患者包括重度原发性免疫缺陷患者;在完成所有免疫抑制治疗后至少 12 个月内接受造血细胞移植的患者,或发生移植物抗宿主病的患者接受更长时间;在免疫抑制化疗完成后至少 6 个月内接受急性淋巴细胞白血病 (ALL) 治疗的患者;和严重免疫抑制的 HIV 患者,≤5 岁儿童定义为 CD4+ T 淋巴细胞百分比 <15%,>5 岁儿童和青少年定义为 CD4+ T 淋巴细胞百分比 <15% 或 CD4+ T 淋巴细胞计数 <200 个淋巴细胞/mm3,以及自接受有效抗逆转录病毒治疗后未接种 MMR 疫苗的患者。Rubin LG、Levin MJ、Ljungman P 等人提供了其他严重免疫功能低下的疾病和药物。2013 年 IDSA 免疫功能低下宿主疫苗接种临床实践指南。Clin Infect Dis.2014;58(3):e44-e100:
cIGIV 的剂量为 400 mg/kg 体重。
d隔离期为最后一次接触后 21 天;如果 IG 作为 PEP 给药,大多数卫生部门会将监测期延长至 28 天,因为 IG 可以延长潜伏期。关于是否适当(即在 6 天内)接受 IG 作为 PEP 的暴露者是否应返回托儿所、学校或工作场所(即不被隔离)等环境的决定应包括考虑环境中的免疫状态和接触强度以及高危个体的存在。这些人应该被排除在医疗保健机构之外。
疫苗的使用
现有数据表明,如果在易感个体接触麻疹后 72 小时内接种麻疹疫苗,在某些情况下将提供保护或改善疾病。对于所有符合疫苗接种条件且未接种疫苗或仅接种 1 剂疫苗的暴露个体,应考虑接种含麻疹疫苗(第二剂麻疹疫苗可在第一剂麻疹疫苗后 28 天≥接种)。如果暴露不会导致感染,疫苗应诱导防止随后的麻疹暴露。免疫接种是学校和托儿所以及 12 个月及以上符合疫苗接种条件的人群控制麻疹疫情的首选干预措施,从 6 个月大开始使用,在美国以前的麻疹流行中效果很好。
免疫球蛋白的用途
免疫球蛋白肌内注射 (IGIM) 或免疫球蛋白静脉注射 (IGIV) 均可在暴露后 6 天内给药,以预防或改善没有麻疹免疫证据的人群的麻疹。国际生产的 IGIM 或 IGIV 产品中的麻疹抗体浓度可能与美国销售的产品不同。IGIM 的推荐剂量为 0.50 mL/kg(最大 15 mL)。IGIV 是推荐用于没有麻疹免疫证据的孕妇和严重免疫功能低下的宿主的 IG 制剂,无论免疫或疫苗接种状态如何,包括严重原发性免疫缺陷患者;接受过造血细胞移植的患者,在完成所有免疫抑制治疗后至少 12 个月或发生移植物抗宿主病的患者更长;接受急性淋巴细胞白血病治疗的患者,免疫抑制化疗完成后至少 6 个月内;接受过实体器官移植的人;患有严重免疫抑制的人类免疫缺陷病毒 (HIV) 感染者(≤5 岁,定义为 CD4+ T 淋巴细胞百分比 <15%;>5 岁,定义为 CD4+ T 淋巴细胞百分比 <15% 或 CD4+ T 淋巴细胞计数 <200 个淋巴细胞/mm3) 的人群);以及 12 个月以下的患者,其亲生父母在怀孕期间接受了生物反应调节剂。160,161 元建议这些人使用 IGIV,因为他们患严重麻疹和并发症的风险可能更高。IGIV 也推荐用于体重 >30 kg 的人,因为 IGIM 制剂的最大给药量为 15 mL,因此 IGIM 制剂的剂量低于推荐剂量。IGIV 以 400 mg/kg 的剂量施用。对于已经定期接受 IGIV 的患者,400 mg/kg 的常规剂量应足以在接受 IGIV 后 3 周内发生暴露后预防麻疹。对于常规接受免疫球蛋白皮下 (IGSC) 治疗的患者,请查阅与麻疹相关的具体剂量处方信息,因为它可能因其他产品特性而异。IG 不适用于在 12 个月或以上接种过 1 剂疫苗的家庭或其他密切接触者,除非他们有严重的免疫功能低下(定义如前所述)。
对于在暴露后接受 IGIM 以改变或预防麻疹的儿童,如果儿童至少年满 12 个月,则应在 IGIM 给药后 6 个月和 IGIV 给药后 8 个月接种麻疹疫苗(如果没有禁忌证)。其他生物制品和含麻疹疫苗的接种间隔不同(见表 1.11,第 69 页)。
HIV 感染160
暴露于麻疹的 HIV 感染儿童需要根据免疫状态和麻疹疫苗接种史进行预防。无至中度免疫抑制的HIV感染者,如果有免疫证据(例如,对麻疹有免疫力的血清学证据或在开始ART后接受了2剂麻疹疫苗)的儿童在暴露后不需要任何额外的措施来预防麻疹。轻度或中度免疫功能低下的HIV感染者,无麻疹免疫力证据(如,无麻疹免疫力的血清学证据,且在ART开始后未接种2剂麻疹疫苗者)应接受0.5 mL/kg(最大15 mL)剂量的免疫球蛋白肌内注射(IGIM)。暴露于麻疹的严重免疫功能低下的宿主(对于 ≤5 岁,定义为 CD4+ T 淋巴细胞百分比 <15%;对于 >5 岁,定义为 CD4+ T 淋巴细胞百分比 <15% 或 CD4+ T 淋巴细胞计数<200 个淋巴细胞/mm3)暴露于麻疹的人群应接受免疫球蛋白静脉注射 (IGIV) 预防,400 mg/kg, 暴露于麻疹后,无论之前的疫苗接种状态如何,因为他们可能不受疫苗的保护。在暴露后 3 周内接受过 IGIV 的 HIV 感染儿童不需要额外的被动免疫接种。
医护人员
为了减少与医疗保健相关的感染,应建立免疫接种计划,以确保所有在医疗保健机构工作或志愿工作的人(包括学生)都有对麻疹免疫力的推定证据(见卫生保健人员免疫接种,第 115 页)。
麻疹疫苗建议(摘要见表 3.34)
MMR 疫苗用途
在美国获得许可的唯一麻疹疫苗是减毒活菌株。在资源有限国家,通过扩大免疫规划提供的含麻疹疫苗符合 WHO 标准,通常与美国可用的疫苗相当。麻疹疫苗在美国仅以组合制剂形式提供,包括 MMR(M-M-R II,由默克公司生产;和 Priorix,由 GSK 生产)和麻疹、腮腺炎、风疹和水痘(MMRV [ProQuad],由默克公司生产)疫苗;美国不再提供单抗原麻疹疫苗。剂量为 0.5 mL 的含麻疹疫苗可以皮下或肌肉注射给药,具体取决于所使用的特定疫苗配方;M-M-R II 和 MMRV 可以皮下或肌肉注射,而 Priorix 只能皮下给药。含麻疹的疫苗可以在单独地点的单独注射器中与其他免疫接种同时接种(参见多种疫苗的同时接种,第 63 页)。
| 类别 | 建议 |
|---|---|
| 未接种疫苗,无麻疹病史(12 至 15 个月大) | 建议在 12 至 15 个月大时接种 MMR 或 MMRV 疫苗;建议在第一次给药后至少 28 天(或 MMRV 为 90 天)接种第二剂,通常在 4 至 6 岁时接种。 |
| 在疫情爆发情况下b 或国际旅行前 6 至 11 个月的儿童 | 接种 MMR 疫苗,最好在旅行前至少 2 周接种,但此剂量不被视为有效,需要在一岁生日当天或之后接种 2 剂有效剂量。MMRV 不应给予 <12 个月大的儿童。 |
| 在 12 个月或以上接种过 1 剂麻疹疫苗的幼儿园、小学、初中和高中学生 | 接种第二剂。 |
| 在 12 个月或以上接种过 1 剂麻疹疫苗的大学和其他高等教育机构的学生 | 接种第二剂。 |
| 一岁生日前的免疫接种史 | 剂量被认为无效;免疫(2 剂)。 |
| 1963-1967 年接种麻疹灭活疫苗或未知类型疫苗的历史 | 剂量被认为无效;免疫(2 剂)。 |
| 使用 IG 进一步接种减毒或未知疫苗 | 剂量被认为无效;免疫(2 剂)。 |
| 对鸡蛋过敏 | 使免疫;可能没有反应(详见正文)。 |
| 新霉素过敏,非过敏性 | 使免疫;可能没有反应(详见正文)。 |
| 对新霉素或明胶的严重超敏反应(过敏反应) | 避免免疫接种。 |
| 结核 | 免疫(见结核病,第 888 页);如果患者患有未经治疗的结核病,请在免疫接种前开始抗结核治疗。 |
| 麻疹暴露 | 根据情况免疫接种或给予免疫球蛋白(见暴露人群的护理,第 574 页,表 3.32 和表 3.33)。 |
| HIV 感染者 | 免疫(2 剂),除非免疫功能严重低下(见正文,第 577 页);如果暴露于麻疹,则根据免疫抑制程度和麻疹疫苗接种史进行免疫接种(见文本,第 577 页)。 |
| 癫痫发作的个人或家族史 | 使免疫;告知父母癫痫发作的风险略有增加。 |
| IG 或血液制品受者 | 以适当的间隔免疫(参见表 1.11,第 69 页)。 |
HIV 表示人类免疫缺陷病毒;IG,免疫球蛋白;MMR、麻疹、腮腺炎和风疹疫苗;MMRV、麻疹、腮腺炎、风疹和水痘疫苗。
a有关 MMRV 疫苗使用的详细信息和建议,请参阅正文。
b见 Outbreak Control (第 585 页)。
大约 95% 的 12 个月大免疫儿童和 98% 的 15 个月大免疫儿童会产生血清无血清抗体。对于大多数人来说,单剂疫苗提供的保护是持久的。一小部分(5% 或更少)的免疫接种者可能会在几年后失去保护。要消除麻疹,需要接种 2 剂含麻疹的疫苗。超过 99% 的接种 2 剂(间隔至少 28 天,第一剂在一岁生日当天或之后接种)出现麻疹免疫的血清学证据。第二剂为那些对初次麻疹免疫接种没有反应的人提供保护,因此不是加强剂。免疫接种对已经免疫的人没有害处。免疫接种者不会传播麻疹疫苗病毒。
疫苗储存不当可能无法预防麻疹。自 1979 年以来,疫苗中添加了一种改进的稳定剂,使其更耐热灭活。有关 MMR 和 MMRV 疫苗的建议储存方式,请参阅制造商的包装标签。MMRV 疫苗必须在 –58°F 至 +5°F 之间冷冻储存。
常规免疫接种年龄
第一剂 MMR 疫苗应在 12 至 15 个月大时接种。第一剂接种的延迟导致了 1989 年至 1991 年美国的大规模爆发。第二剂常规推荐在入学时(即 4 至 6 岁)接种,但可以在较早的年龄接种(例如,在疫情爆发期间或国际旅行之前),前提是第一剂和第二剂 MMR 之间的间隔至少为 28 天。所有仅接种过 1 剂的学龄儿童(小学、初中、高中)都应进行补种第二剂免疫接种,包括 11 至 12 岁及以上的青少年访视时。如果儿童在 12 个月大之前接种了一剂麻疹疫苗,则该剂量不计入所需的剂量;普遍推荐的 2 剂在美国仍然需要从 12 个月到 15 个月大开始,并且至少间隔 28 天。
MMRV 疫苗162用途
- MMRV 疫苗适用于 12 个月至 12 岁儿童同时免疫麻疹、腮腺炎、风疹和水痘;MMRV 疫苗不适用于该年龄组以外的人群。参见水痘-带状疱疹感染,第 938 页,了解第一剂使用 MMRV 疫苗的建议。
- HIV 感染儿童不应接种 MMRV 疫苗,因为缺乏 HIV 感染儿童四价疫苗的安全性数据。
- MMRV 疫苗可以与推荐在 12 至 15 个月大或 4 至 6 岁 (www.publications.aap.org/redbook/resources/15585/) 时接种的其他疫苗一起接种。
- 一剂含麻疹疫苗(如 MMR 疫苗)和一剂 MMRV 疫苗之间应至少间隔 28 天。但是,建议 2 剂单独的 MMRV 疫苗之间的最短间隔为 90 天。
高中以上教育的学院和其他机构
大学和其他高等教育机构应要求所有入学的学生都有麻疹免疫证据文件(见麻疹免疫证据,第 574 页)。没有麻疹免疫记录的学生应在入学时接种 MMR 疫苗,如果没有禁忌症,则在 28 天后接种第二剂。
疫情暴发期间的免疫接种
在疫情暴发期间,应向所有符合疫苗接种条件的暴露者或在疫情暴发环境中缺乏麻疹免疫证据的人提供 MMR 疫苗。在影响婴儿的社区范围暴发期间,MMR 疫苗已被证明是有效的,可能推荐用于 6 至 11 个月的婴儿(见暴发控制,第 585 页)。在一岁生日之前接种的剂量不计入推荐的 2 剂系列。
国际旅行
国际旅行的人(美国以外的任何国家/地区)在旅行前都应该对麻疹免疫。如果可能,6 至 11 个月大的婴儿应在出发前至少 2 周接种 1 剂 MMR 疫苗,然后应在 12 至 15 个月大时(初次麻疹免疫接种后至少 28 天)接种第二剂含麻疹疫苗,在 4 至 6 岁时接种第三剂。12 个月或以上的儿童以及已接种 1 剂疫苗并前往麻疹流行或流行地区的成人应在出发前接种第二剂疫苗,前提是两剂之间的间隔为 28 天或更长时间。
国际收养者
美国国务院要求 10 岁及以上的国际收养儿童在进入美国之前接种 MMR 疫苗。10 岁以下的国际收养儿童不受《移民和国籍法》中有关移民抵达美国前免疫接种的规定的约束(参见在美国境外接受免疫接种或免疫接种状态未知或不确定的儿童,第 119 页);养父母必须签署一份弃权书,表明他们打算在孩子抵达美国后遵守美国免疫接种建议。
医护人员163
在医疗保健机构工作的人对麻疹免疫力的充分推定证据是:(1) 有记录的 2 剂活病毒麻疹疫苗的接种情况,第一剂在 ≥12 个月大时接种,第二剂在第一剂后至少 28 天接种;(2) 免疫力的实验室证据或疾病的实验室确认;或 (3) 1957 年之前出生。1957 年之前出生并不能保证麻疹免疫力,因此,设施应考虑为缺乏实验室免疫力证据的 1957 年之前出生的未免疫人员接种疫苗,以适当的时间间隔接种 2 剂 MMR 疫苗(见医护人员免疫接种,第 115 页)。有关爆发期间的建议,请参阅爆发控制(第 585 页)。
不良事件
大约 5% 至 15% 的疫苗接种者出现体温为 39.4°C (103°F) 或更高,通常在接种 MMR 疫苗后 5 至 12 天内出现;发热通常持续 1 至 2 天,但可能持续长达 5 天。大多数发热患者没有其他症状。据报道,大约 5% 的疫苗接种者会出现短暂的皮疹。尽管出现发热和/或皮疹的接种者不被认为具有传染性,也没有麻疹长期后遗症的风险,但对野生型麻疹的怀疑可能很高,特别是如果疫苗是作为疫情应对的一部分接种的。因此,快速区分疫苗反应与野生型病毒感染对于指导公共卫生应对疫情至关重要。疫苗反应可以通过实验室确认,方法是在呼吸道分泌物或尿液中检测麻疹疫苗病毒,然后进行测序以确定基因型,或使用 NAAT 特异性检测麻疹疫苗株 (MeVa),该病毒可在 CDC 和州卫生部门获得。
免疫接种后 5 至 12 天,接种 MMR 疫苗的人中有 3000 至 4000 人中有 1 人出现热性惊厥。在接种含麻疹疫苗,特别是 MMR 疫苗后,每 22 000 至 40 000 人中就有 1 人发生短暂性血小板减少症(见血小板减少症,第 583 页)。没有证据表明再免疫会增加已经对这些疾病免疫的人群发生不良事件的风险。数据表明,只有对 MMR 病毒没有免疫力的人才会出现不良反应。因此,预计第二剂 MMR 疫苗后的事件将大大低于第一剂后,因为大多数接受第一剂的人都会产生免疫力。
接种 MMRV 疫苗的儿童的大多数局部和全身不良事件的发生率与同时接种 MMR 和水痘疫苗的儿童的发生率相当。然而,与同时接种 MMR 和水痘疫苗的接种者相比,第一剂 MMRV 疫苗接种者的发热率更高 102°F (38.9°C) 或更高(分别为 22% 和 15%)。在 12 至 23 个月大时接种第一剂 MMRV 疫苗的儿童中,每 1100 至 1400 名儿童中就有 1 名发生热性惊厥,在同一次就诊时分别接种第一剂 MMR 和水痘疫苗的儿童中,每 2500 至 3000 名儿童中就有 1 名发生热性惊厥。热性惊厥的风险期为接种疫苗后 5 至 12 天。单独使用 MMRV 而不是 MMR 和单价水痘疫苗的好处是,四价产品可减少 1 次注射。MMRV 或单独的 MMR 和水痘疫苗是 12 至 15 个月大时第 1 剂的可接受选择,儿科医生应与父母或照护者讨论疫苗选择的风险和益处。对于 48 个月及以上的麻疹、腮腺炎、风疹和水痘疫苗的第一剂以及任何年龄(15 个月至 12 岁)的第 2 剂疫苗,通常首选使用 MMRV 疫苗而不是单独注射 MMR 和水痘疫苗,以尽量减少注射次数。
据报道,在美国接种麻疹疫苗后,脑炎和脑病等中枢神经系统疾病的频率低于每百万剂 1 剂。由于美国麻疹免疫接种后脑炎或脑病的发病率低于观察到的不明原因脑炎发病率,因此部分或大多数罕见的严重神经系统疾病可能与麻疹免疫接种暂时相关,而不是因果关系。多项研究以及美国国家医学科学院疫苗安全性审查驳斥了自闭症与 MMR 疫苗之间或炎症性肠病与 MMR 疫苗之间的因果关系。
注意事项和禁忌症
发热性疾病
患有轻微疾病(如上呼吸道感染)的儿童可以接种疫苗。发热不是免疫接种的禁忌症。但是,如果其他表现提示更严重的疾病,则应推迟免疫接种,直到疾病消退。
过敏反应
超敏反应很少发生,通常很轻微,包括风团和耀斑反应或注射部位的荨麻疹。反应归因于疫苗配方中微量的新霉素或明胶或其他一些成分。严重过敏反应很少见。麻疹疫苗是在鸡胚细胞培养物中产生的,不含大量的蛋清(卵清蛋白)交叉反应蛋白。鸡蛋过敏的儿童对含麻疹疫苗(包括 MMR 和 MMRV)发生过敏反应的风险较低。儿童鸡蛋过敏的皮肤试验不能预测对 MMR 疫苗的反应,因此不建议在接种 MMR 或其他含麻疹疫苗之前进行。对鸡或羽毛过敏的人对疫苗产生反应的风险不会增加。
对先前剂量的含麻疹疫苗或疫苗成分有严重过敏反应的人,不应接种含麻疹疫苗。
血小板 减少
极少数情况下,MMR 疫苗在免疫后 2 个月内可伴有轻度血小板减少症,免疫后 2 至 3 周出现颞部聚集。大多数血小板减少症病例在 1 周内消退。根据病例报告,对于以前经历过血小板减少症的人来说,疫苗相关血小板减少症的风险可能更高,特别是如果它与早期 MMR 免疫接种的时间相关。对这些儿童进行免疫接种的决定应基于对首次给药后免疫力的评估,以及与免疫接种后血小板减少症复发风险相比,对麻疹、腮腺炎和风疹的保护益处。第一剂疫苗后血小板减少症的风险高于第二剂后。目前还没有报道与接受 MMR 疫苗相关的血小板减少症病例,这些病例导致其他方面健康的人出现出血并发症或死亡。
近期服用 IG 或其他血液制品
IG 制剂在不同时期干扰对麻疹疫苗的血清学反应,具体取决于接种的 IG 剂量。表 1.11 中提供了 IG 或血液制品给药与麻疹免疫接种之间的建议间隔(第 69 页)。如果疫苗接种的间隔时间短于指示的间隔时间,如果暴露于麻疹的风险迫在眉睫,则可能需要这样做,则应在适当的免疫接种间隔或之后(以及较早免疫接种后至少 28 天)对儿童进行再次免疫接种。
MMR 疫苗应在计划接种 IG、输血或其他血液制品前至少 2 周接种,因为理论上这些产品中的抗体可能会中和疫苗病毒并干扰免疫成功。如果必须在 MMR 或 MMRV 给药后 14 天内接种 IG,则应在表 1.11 中规定的间隔后再次接种这些疫苗(第 69 页)。
结核
结核菌素皮肤试验或干扰素 γ 释放试验 (IGRA) 检测不是 MMR 免疫接种的先决条件。在对未经治疗的结核病感染或疾病患者接种 MMR 疫苗之前,应开始抗结核治疗。如果有特殊指征,可以在接种 MMR 疫苗当天进行结核菌素皮肤或 IGRA 检测。否则,结核菌素皮肤或 IGRA 检测应推迟 4 至 6 周,因为麻疹免疫接种可能会抑制结核菌素皮肤试验反应性,并可能影响 IGRA 检测。
免疫力改变
免疫功能低下的患者患有与病毒感染严重程度增加相关的疾病,不应接种活病毒麻疹疫苗(HIV 感染者除外,除非他们有严重免疫抑制的证据;参见免疫功能低下儿童的免疫接种和其他注意事项,第 93 页和下面的 HIV 感染)。通过对免疫功能低下患者的密切易感接触者进行免疫接种,可以降低其接触麻疹的风险。免疫接种者不会传播或传播传染性麻疹疫苗病毒。对暴露于麻疹的免疫缺陷和免疫抑制患者的管理可以通过先前了解他们的免疫状态来促进。如果可能,儿童应在开始使用生物反应调节剂(如肿瘤坏死因子拮抗剂)治疗之前接种麻疹疫苗,并在移植前接种 2 剂。严重免疫功能低下的患者在麻疹暴露后应接受 IG,无论免疫或疫苗接种状态如何(参见暴露人群的护理,第 574 页,表 3.32 和表 3.33)。
皮质 类固醇
对于接受高剂量皮质类固醇(≥2 mg/kg 体重或 ≥20 mg/天的泼尼松或同等药物,对于体重 ≥10 kg)的患者,如果患者没有免疫功能低下,则建议停止皮质类固醇和免疫接种之间的间隔至少为 4 周(见 免疫功能低下儿童的免疫接种和其他注意事项,第 93 页)。一般来说,吸入类固醇不会引起免疫抑制,也不是麻疹免疫接种的禁忌症。
HIV 感染164
建议所有 ≥12 个月大的 HIV 感染者进行麻疹免疫接种(作为 MMR 疫苗接种),他们没有麻疹免疫力的证据,也没有严重免疫抑制的证据,因为麻疹可能很严重,有时在 HIV 患者中是致命的(见人类免疫缺陷病毒感染,第 489 页)。出于疫苗接种目的,≤5 岁人群的严重免疫抑制定义为 CD4+ T 淋巴细胞百分比 <15%,>5 岁人群定义为 CD4+ T 淋巴细胞百分比 <15% 或 CD4+ T 淋巴细胞计数 <200 个淋巴细胞/毫米3。严重免疫功能低下的 HIV 感染婴儿、儿童、青少年和年轻人不应接种含麻疹病毒的疫苗。MMRV 疫苗不应接种给任何感染 HIV 的婴儿或儿童,无论免疫抑制程度如何,因为缺乏该人群的安全数据。新诊断的 HIV 感染者和非麻疹免疫证据的成人应在诊断后尽快完成 2 剂 MMR 疫苗接种,除非他们有严重免疫抑制的证据。在建立有效 ART 之前接种过麻疹疫苗的围产期获得性 HIV 患者应被视为未接种疫苗,一旦接种了有效的 ART,应重新接种 2 剂 MMR 疫苗,除非他们有其他可接受的麻疹免疫力证据或除非他们严重免疫功能低下。所有缺乏麻疹免疫证据的 HIV 感染者的家庭成员都应接种 2 剂 MMR。
癫痫发作的个人或家族史
有癫痫发作个人史或家族史的儿童应在告知父母或监护人接种麻疹免疫后癫痫发作的风险略有增加后进行免疫接种。接受抗惊厥药的儿童应在麻疹免疫接种后继续此类治疗。
怀孕
含麻疹的疫苗不应接种给已知怀孕的人。接种 MMR 疫苗的人至少 28 天内不应怀孕。这种预防措施基于胎儿感染的理论风险,这适用于对可能怀孕或免疫接种后不久可能怀孕的人接种任何活病毒疫苗。没有来自怀孕期间无意中接种疫苗的人的数据证实了这种理论风险。在为青少年和年轻人接种麻疹疫苗时,建议的预防措施包括询问他们是否怀孕,排除孕妇,并向可能怀孕的其他人解释理论风险。免疫接种前不需要进行妊娠试验。
爆发控制
每个疑似麻疹病例都应立即报告给当地卫生部门,并且必须尽一切努力获取实验室证据,以确认该疾病是麻疹,特别是如果该疾病可能是社区中的首例病例。随后预防麻疹传播取决于对有暴露风险的人或已经暴露的人进行及时免疫接种。未接种疫苗的人,包括因医疗原因免于麻疹免疫接种的人,应被排除在学校、儿童保育和医疗保健机构之外,直到最后一例涉及疫情的麻疹病例出现皮疹后至少 21 天。
学校和托儿所
在托儿所、学校、大学和其他高等教育机构暴发麻疹疫情期间,所有无法提供麻疹免疫证据的学生、他们的兄弟姐妹和 1957 年或之后出生的人员都应接受免疫接种。作为疫情控制计划的一部分,接受第二剂接种的人以及未接种疫苗的人可以立即再次入住学校或托儿所。
医疗保健设施
如果疫情发生在医院服务的区域或医院内,所有无法提供麻疹免疫力证据的员工和志愿者都应接种 2 剂 MMR 疫苗。由于一些 1957 年之前出生的医护人员在卫生保健机构中感染了麻疹,因此建议在疫情暴发期间没有血清学证据证明该年龄段的医护人员接种 2 剂 MMR 疫苗。在疫情暴发期间,不建议在免疫接种前进行血清学检测,因为需要快速免疫接种来阻止疾病传播。对于没有免疫力证据且已暴露的医护人员,从首次暴露后的第 5 天到最后一次暴露后的第 21 天,无论他们在暴露后是否接受了疫苗或 IG,都应不再与患者直接接触。生病的医护人员在出现皮疹后 4 天内应停止与患者接触。
引用
155 Centers for Disease Control and Prevention . Progress toward regional measles elimination–worldwide, 2000-2020 . MMWR Morb Mortal Wkly Rep . 2021 ; 70 ( 45 ): 1563 – 1569 PubMed
156 Minta AA , Ferrari M , Antoni S , et al. Progress toward regional measles elimination—worldwide, 2000-2021 . MMWR Morb Mortal Wkly Rep . 2022 ; 71 ( 47 ): 1489 – 1495 Google Scholar PubMed
157 Centers for Disease Control . Measles prevention . MMWR Suppl . 1989 ; 38 ( 9 ): 1 – 18
158 Centers for Disease Control and Prevention . Immunization of health-care personnel: recommendations of the Advisory Committee on Immunization Practices (ACIP) . MMWR Recomm Rep . 2011 ; 60 ( RR-7 ): 1 – 45
159 Centers for Disease Control and Prevention . Prevention of measles, rubella, congenital rubella syndrome, and mumps, 2013 summary: recommendations of the Advisory Committee on Immunization Practices (ACIP) . MMWR Recomm Rep . 2013 ; 62 ( RR-4 ): 1 – 34
160 Centers for Disease Control and Prevention . Prevention of measles, rubella, congenital rubella syndrome, and mumps, 2013 summary: recommendations of the Advisory Committee on Immunization Practices (ACIP) . MMWR Recomm Rep . 2013 ; 62 ( RR-4 ): 1 – 34
161 Rubin LG , Levin MJ , Ljungman P , et al. 2013 IDSA Clinical practice guideline for vaccination of the immunocompromised host . Clin Infect Dis . 2014 ; 58 ( 3 ): e44 – e100 Google Scholar PubMed
162 Centers for Disease Control and Prevention . Use of combination measles, mumps, rubella, and varicella vaccine: recommendations of the Advisory Committee on Immunization Practices (ACIP) . MMWR Recomm Rep . 2010 ; 59 ( RR–3 ): 1 – 12
163 Centers for Disease Control and Prevention . Immunization of health-care personnel: recommendations of the Advisory Committee on Immunization Practices (ACIP) . MMWR Recomm Rep . 2011 ; 60 ( RR–07 ): 1 – 45
164 Rubin LG , Levin MJ , Ljungman P , et al. 2013 IDSA clinical practice guideline for vaccination of the immunocompromised host . Clin Infect Dis . 2014 ; 58 ( 3 ): 309 – 318 Google Scholar PubMed
麻疹图片
临床表现
病因
流行病学
Hits: 61
相关文章:
- 保护您的宝宝免受麻疹爆发:常见问题解答
- 如何在麻疹爆发期间保护您的孩子
- 麻疹:国际旅行的注意事项
- ACIP关于预防麻疹、风疹、先天性风疹综合征和流行性腮腺炎的建议
- 英国的麻疹疫苗接种率必须增加
- 麻疹:英格兰确诊500例病例,全国各地出现聚集性病例
- 在伊利诺伊州和纽约州发现更多麻疹病例,美国总数攀升至64例
- 拉斯维加斯,辛辛那提官员追踪受感染游客的麻疹暴露情况
- WHO 麻疹
- 疫苗怀疑论者在麻疹等方面误导您的 4 种方式
- 您需要麻疹加强针吗?以下是专家的看法
- 德克萨斯州麻疹疫情常见问题解答 — 未接种疫苗的儿童死亡
- 麻疹并不致命的神话
- 麻疹疫情导致维生素 A 中毒中心电话增加
- 麻疹防护问题与解答
Powered by YARPP.
































